I thought I’d share these as a follow-up to my “My Joints are 90 Years Old” post.
I am having a total knee replacement of the right knee in a few weeks.
I also need a right thumb joint replacement.
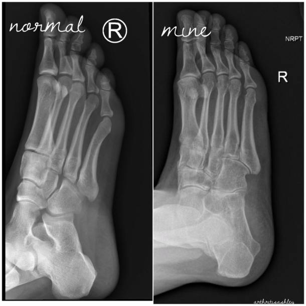
My left wrist and right foot are beyond surgical repair.
I’ve been told that my joints look 80 or 90 years old!
How can you tell? Compare joint space, shape, white areas. JIA, RA, and OA have ravaged the joints.
Gotta keep on keepin’ on, even when it’s tough!
Photos:




